MEDXRAY ARAD
Radiografii dentare 2D – Investigații esențiale pentru un diagnostic corect
Radiografiile 2D sunt investigații imagistice rapide, nedureroase și esențiale pentru diagnosticarea și monitorizarea afecțiunilor dentare și maxilo-faciale. Acestea oferă medicului stomatolog informații detaliate despre structurile interne ale dinților, oaselor și țesuturilor învecinate, permițând depistarea timpurie a problemelor dentare sau osoase.
Mai jos regăsiți principalele tipuri de radiografii 2D disponibile în centrele MedXray din Centru, Vlaicu, Micălaca și Ineu, alături de indicații, durată și localizare:
Descriere
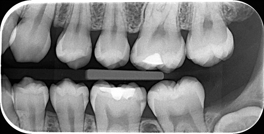
Permit detectarea cariilor incipiente în zonele interdentare, a cariilor de colet de dimensiuni mici și localizate subgingival, a cariilor apărute sub obturații (recidivă de carie).
De asemenea, pot fi decelate leziunile osoase precoce în parodontopatii marginale, precum și procese calcifiate în camera pulpară.
100 lei
Descriere
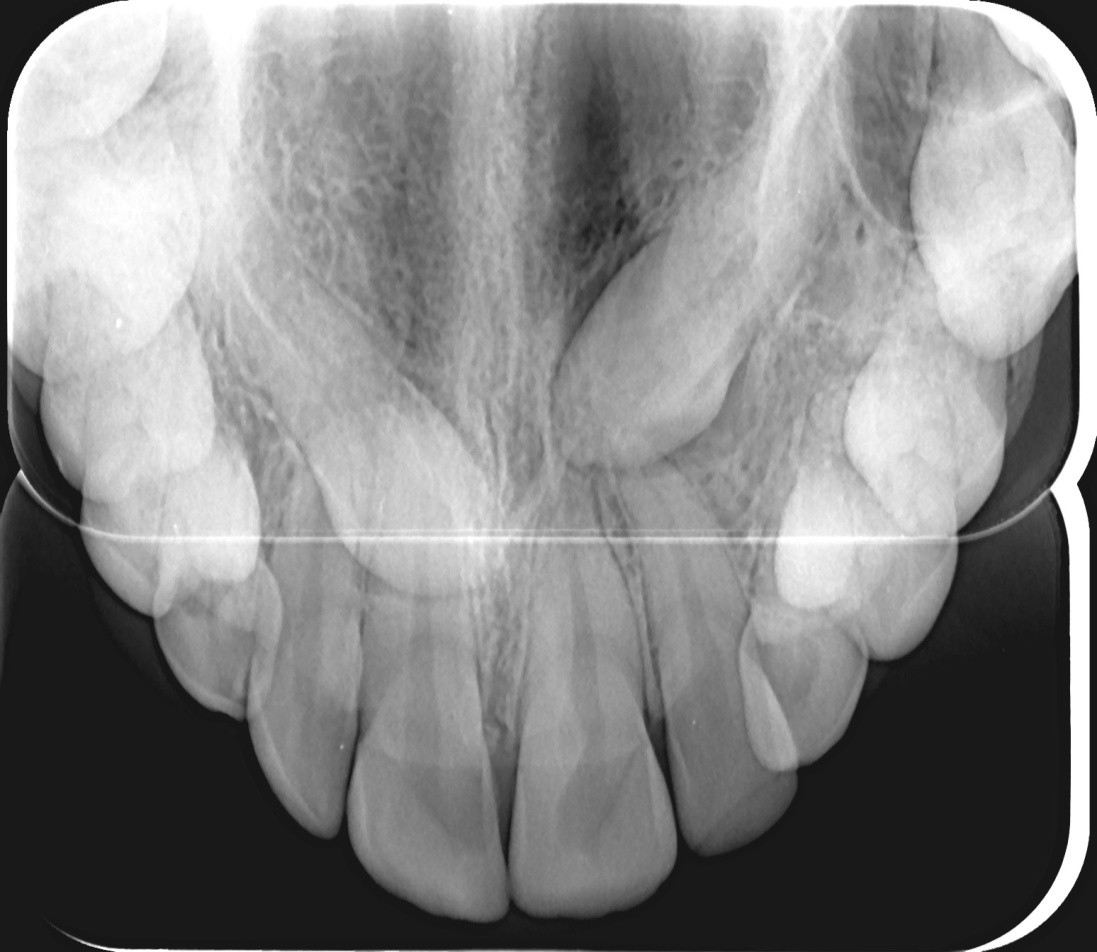
Permite vizualizarea aranjării spațiale a formațiunilor de interes, de obicei incluse. În plus, radiografia ocluzală poate fi utilizată și la pacienții cu probleme ale glandelor salivare (ex: litiază de glandă submandibulară) sau la pacienții cu trismus (imposibilitatea deschiderii gurii datorită contracției musculare).
100 lei
Descriere
OPG-ul este necesar în etapa de diagnostic pentru elaborarea planului de tratament, precum și pe parcursul sau la sfârșitul tratamentului, pentru a evalua evoluția acestuia.
Redă medicului stomatolog informații despre poziția și relația dinților, a mugurilor dentari încă neerupți, precum și detalii despre eventualele afecțiuni parodontale, sinusale și ale articulațiilor temporo-mandibulare.
Pentru ca imaginea radiologică să fie de bună calitate, trebuie să încercați să rămâneți nemișcat în poziția indicată de personalul specializat pe tot timpul expunerii.
100 lei
Descriere
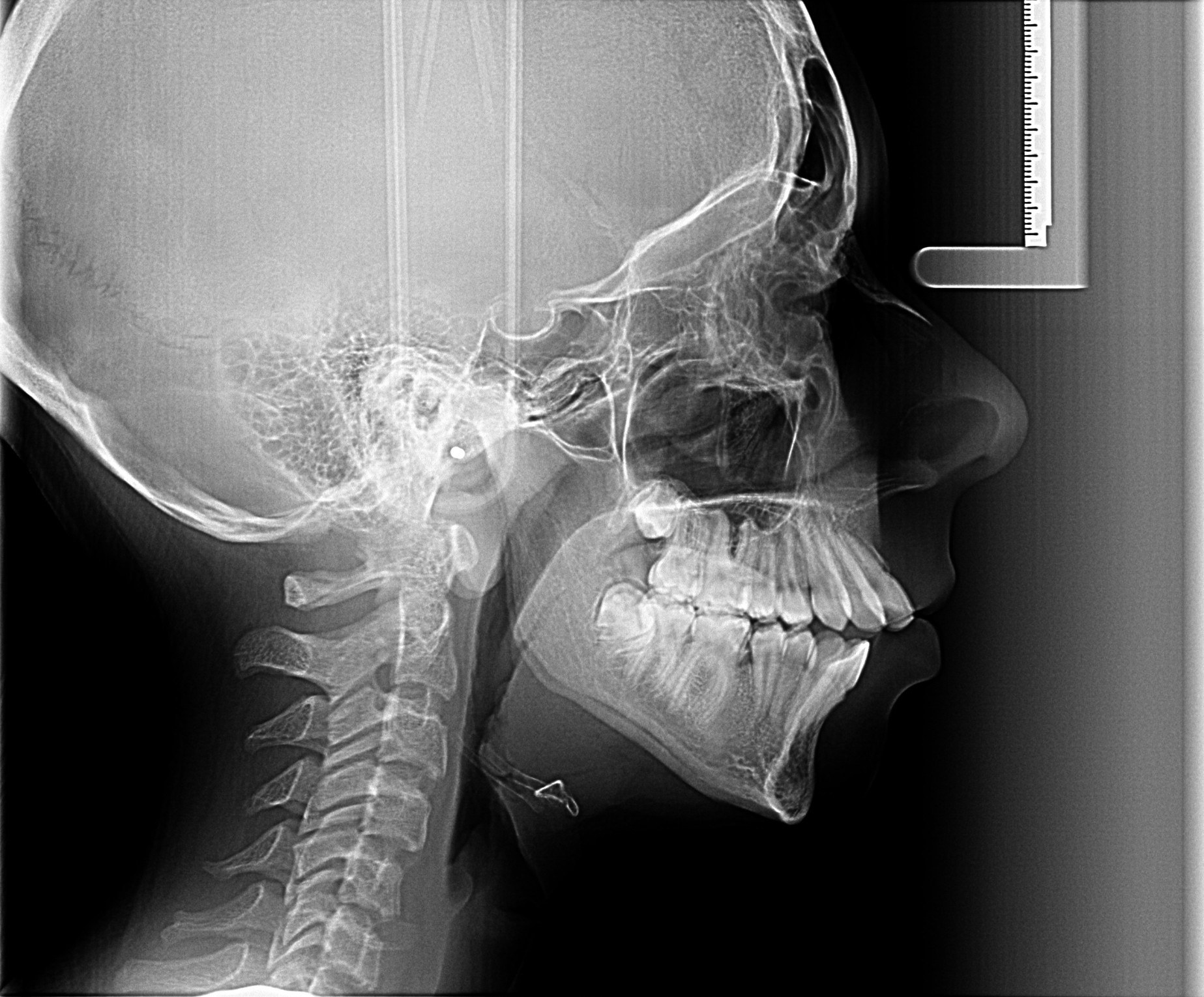
Oferă o imagine de ansamblu a oaselor viscerocraniene și parțial a celor craniene, ajutând la stabilirea diagnosticului în ortodonție și chirurgia maxilo-facială.
Imaginea evidențiază și evoluția osificării vertebrelor cervicale, ceea ce permite medicului specialist stabilirea evoluției pre- și post-pubertare a pacientului.
100 lei
Descriere
Este utilizată pentru evidențierea patologiei articulare de natură inflamatorie, traumatică, tumorală, hiperplazică, atrofică etc. și poate fi efectuată cu gura închisă, deschisă sau în diverse grade de propulsie, în funcție de indicațiile medicului curant.
Acesta trimite pacientul la cabinetul de radiologie cu dispozitive speciale de mușcat care imobilizează mandibula în poziția dorită.
100 lei
Descriere
Radiografia de sinusuri anterioare frontale (SAF) este indicată cel mai frecvent de medicii specialiști ORL pentru stabilirea patologiei sinuzale.
Totuși, poate fi utilă și medicilor stomatologi, în special chirurgilor maxilo-faciali, în cazurile de sinuzite odontogene.
100 lei