MEDXRAY ARAD
Radiografii dentare 3D
La MedXray, punem la dispoziția pacienților noștri radiografii 3D realizate cu tehnologie CBCT de ultimă generație, pentru o evaluare completă, precisă și detaliată a structurilor dento-maxilare.
Radiografia 3D este o investigație imagistică esențială în stomatologia modernă, indispensabilă în planificarea tratamentelor complexe precum implanturile dentare, intervențiile chirurgicale, tratamentele ortodontice și endodontice.
Ce presupune o radiografie 3D?
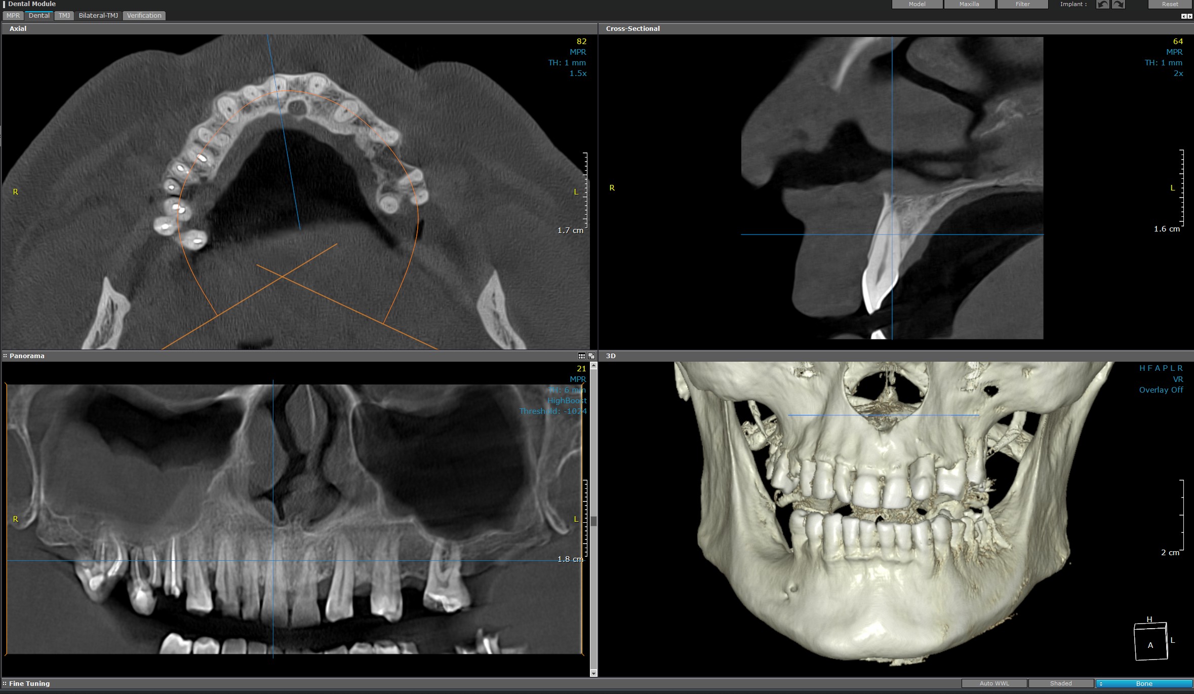
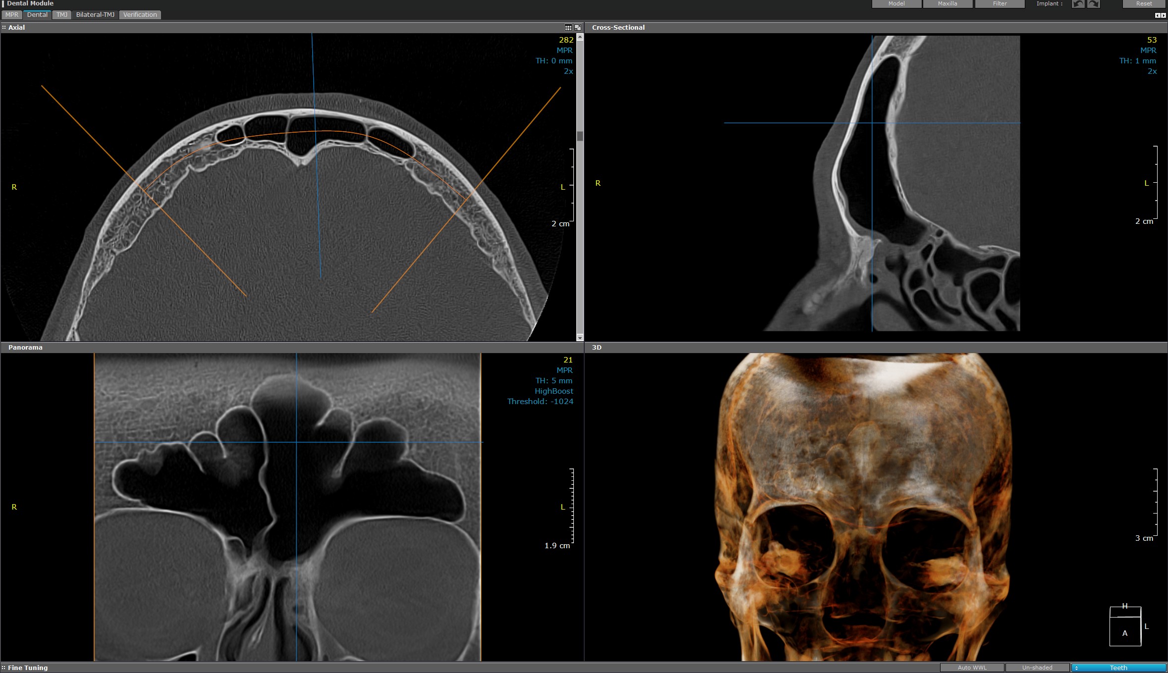
Spre deosebire de radiografiile 2D tradiționale, care oferă doar o imagine plană, radiografia 3D (CBCT) furnizează o reprezentare tridimensională a structurii osoase, dentare și a țesuturilor învecinate.
Această tehnologie permite medicului stomatolog să observe toate detaliile din unghiuri multiple, cu o acuratețe superioară.
Cum procedăm la MedXray?
- Scanarea este rapidă și neinvazivă
- Folosim doze reduse de radiații
- Imaginile sunt prelucrate digital și transmise medicului în format compatibil
- Fără durere sau disconfort pentru pacient
Beneficiile radiografiei 3D
- Diagnosticare rapidă și precisă
- Planificarea tratamentelor complexe cu predictibilitate crescută
- Evaluarea exactă a densității osoase și a canalelor radiculare
- Localizarea corectă a leziunilor sau anomaliilor
- Evitarea riscurilor în intervenții chirurgicale
- Confort sporit pentru pacient
Cum să te pregătești pentru o radiografie 3D?
- Nu este nevoie de o pregătire specială
- Se recomandă îndepărtarea obiectelor metalice (cercei, lanțuri, agrafe, proteze mobile)
- Este important ca pacientul să urmeze indicațiile asistentului radiolog în timpul poziționării și să mențină capul nemișcat în timpul scanării (aprox. 10-20 secunde)
- Procedura este sigură, rapidă și complet nedureroasă
Tipuri de investigații 3D disponibile la MedXray
CT maxilar/mandibular sau bimaxilar (Computer Tomograf)
Furnizează imagini detaliate și precise cu privire la structurile dentare maxilare sau mandibulare, esențiale pentru diagnostic și planificarea tratamentelor dentare complexe.
Procedura este rapidă, non-invazivă și nedureroasă, folosind o tehnologie avansată de scanare.
Aceasta este utilizată la evaluarea preoperatorie a osului maxilar, planificarea implanturilor dentare și la stabilirea densității osoase, detectarea fracturilor, tumorilor, a infecțiilor și raportului acestora cu structurile anatomice învecinate acestora
Computer tomograf (CT) de sinusuri ORL
Utilizează tehnologia avansată pentru a oferi imagini detaliate și precise, asigurând premisele evaluării și monitorizării afecțiunilor sinusale.
Folosind o tehnologie modernă, non-invazivă, această investigație oferă o vizualizare clară a structurilor sinusale maxilare, frontale și etmoidale, detectând inflamații, infecții sau alte disfuncții, patologii sau anomalii din domeniul ORL.
Rezoluția înaltă și capacitatea de scanare rapidă permit diagnosticarea precisă, ghidând tratamentele medicale necesare.
CT ATM (Articulații temporo-mandibulare)
CT-ul pentru articulații temporo-mandibulare (ATM) utilizează tehnologie avansată pentru a oferi o perspectivă detaliată asupra complexului articular mandibular. Investigația este esențială în evaluarea și planificarea tratamentului de specialitate. Imaginile referitoare la forma și structura articulației temporo-mandibulare sunt clare și precise.
Sunt generate informații importante referitoare la discurile articulare și țesuturile moi din jurul articulației. Cu o rezoluție înaltă și capacitate de scanare rapidă, CT ATM permite diagnosticarea precisă a afecțiunilor, disfuncțiilor, fracturilor sau a altor patologii articulare.
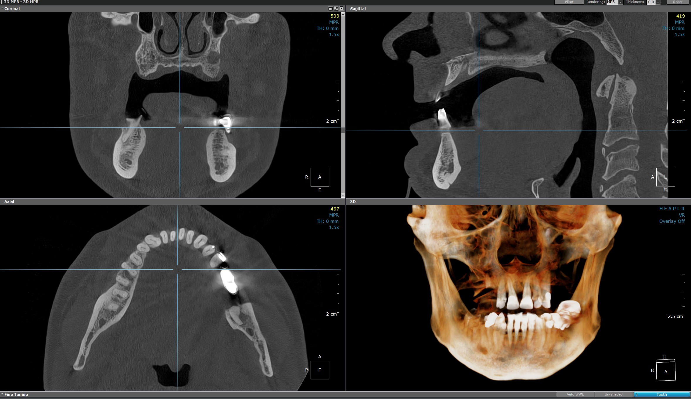
CT Endo (Endodontic)
CT Endo are la bază o tehnologie avansată utilizată de către medicii stomatologi de specialitate pentru diagnosticarea și tratamentul canalului radicular.
Aparatul furnizează imagini detaliate și precise ale dinților și a structurilor radiculare.
Prin imagini tridimensionale, CT-ul endodontic permite medicilor să observe în detaliu canalul radicular, vârfurile radiculare și structurile adiacente, facilitând identificarea infecțiilor, leziunilor, fracturilor sau a altor anomalii ale dinților.
Investigația radiologică contribuie la planificarea tratamentului endodontic precis și personalizat, asigurând succesul acestuia și fiabilitatea în timp.
Analize 3D – Examinări CBCT avansate
Pe baza imaginilor obținute prin CBCT (Computer Tomograf cu fascicul conic), realizăm o serie de analize 3D personalizate care ajută în diagnosticare și planificarea tratamentelor:
- Analiza densității osoase
Evaluează calitatea osului în zonele de interes, esențială pentru implanturi sau tratamente chirurgicale. - Analize endodontice
Permite examinarea detaliată a canalelor radiculare, vârfurilor radiculare și leziunilor dentare pentru tratamente de canal de mare precizie. - Analiza ofertei osoase pentru implanturi
Se determină volumul și structura osului disponibil pentru a simula cu acuratețe plasarea implanturilor dentare. - Măsurători pe zone de interes
Se efectuează măsurători exacte ale spațiilor anatomice, utile în planificări chirurgicale sau ortodontice.
Analiza volumelor
Identifică și măsoară volumele structurilor anatomice sau ale leziunilor, oferind o imagine completă asupra zonei investigate.